 
            
                      
            
        服務項目 》Calf Augmentation
Calf Augmentation
On the contrary, some persons like to have bigger calves.  Take the below case for example, Mr. Chang likes to take exercise.  But no matter how he trained his leg muscles, his calves were smaller.  Comparing with his thighs.  He visited our clinic for improving his thin calves.  We implanted four silicone blocks into his calves to imitate the shapes of gastrocnemius.  After surgery, he was quite happy with the shapes of his legs. 
 

The other cases who visited our clinic is to improve asymmetric legs caused by poliomyelitis. Fat injection into smaller leg is the other option to augment leg. The preoperative size of legs in following case was 33 cm in right leg, 27.5cm in left leg. After injection of 300 c.c. fat into her left leg, the size of leg became 31.5cm (right picture was taken on 7 months after surgery). Legs looked quite symmetric.

- 
                        
                        
                        腓腸肌的解剖及生理 認為自已小腿粗的女性,有可能整個小腿肌肉都會比較肥大,但依據目前的醫學報導,即使拿掉小腿的全部腓腸肌或是一小部份的比目魚肌是不會影響病人日常的行走,所以目前蘿蔔腿的治療都針對腓腸肌或是比目魚肌做治療,目前尚沒有處理其他小腿肌肉的醫學報導。請參考下左圖,腓腸肌位於小腿後方淺層,分內外二塊,當妳墊起腳尖妳可以看到小腿內側有一塊隆起的肌肉,那就是內側腓腸肌(以下簡稱內腓)。外側腓腸肌(以下簡稱外腓)比較小塊位於小腿的後外側。比目魚肌(以下簡稱比目)是一整片的,位於腓腸肌的深層,它與腓腸肌有一個共同的肌腱:阿基理氏(Achilles)腱,就是那條位於腳踝後面很粗的肌腱。下右圖是小腿的橫切圖,可以看到這三塊肌肉的位置排列。下左間圖標示內腓,外腓及比目魚肌的位置,外側弧線標示比目魚肌的外側緣。內側腓腸肌位於小腿內側,是決定小腿內側曲線的肌肉。外側腓腸肌會影響小腿外後側曲線,比目魚肌會影響小腿外側曲線。 
 
  
 
 雖然腓腸肌及比目魚有一個共同的肌腱,但功能是不同的。在功能上肌肉細胞可以分為三類: 一是FF 肌肉細胞(Fast-twitch, Fatigable 意思是收縮快,但容易疲勞的肌肉細胞)。二是FR 肌肉細胞(Fast-twitch, fatigue-Resistant 意思是收縮快,不易疲勞的肌肉細胞)及第三類是 S(Slow)細胞(意思是收縮慢,不易疲勞的肌肉細胞)。內腓肌肉內大部份是由FF細胞組成,比目魚肌絕大部份是由S細胞組成。簡單的說,比目魚肌對站立行走重要,內腓對快跑或跳躍動作重要。在做蘿蔔腿手術時都會有不同程度的影響到內腓的功能,以為比目魚肌會代償性的肥大來取代內腓的所有功能是太過單純的想法,因為比目魚肌(絕大多數是S細胞)並沒有內腓有的FF細胞。如果妳常常跑步或是從事與跳躍有關的運動的話,做蘿蔔腿手術後就會影響到妳的運動習慣及成績。再者不管是犧牲掉部份或是全部的腓腸肌的功能,如果病人術後仍經常從事小腿有關的運動,比目魚肌多少會有代償性肥大以取代腓腸肌的部份功能,肥大的比目魚肌會造成小腿腿形的改變。如果妳是運動的愛好者,做蘿蔔腿手術前宜三思。另外,小腿的肌肉提供行走的動能,如果病人是肥胖者,小腿肌肉就必須比體重輕的人肥大以提供足夠的動能。所以就如同與運動愛好者相同的理由,肥胖者宜減重再做蘿蔔腿手術。
- 
                        
                        
                        利用肉毒桿菌素施打在肌肉上可以使肌肉萎縮的特性,施打在咀嚼肌上就會有瘦臉的效果,施打在腓腸肌上就有瘦小腿的效果。
 肉毒是瘦臉的重要治療利器,因為咀嚼肌比較小塊,所需的肉毒劑量低,費用低,效果明顯,病人施打後的滿意度很高。
 但腓腸肌是大塊肌肉,用肉毒瘦小腿要看到效果所需的劑量高,費用高( 一次要五至六萬)。肉毒瘦小腿的效果常常不到半年,我們認為經濟效益會比起手術差。
 
  
 
 上圖病人在施打肉毒瘦小腿一個月後,小腿圍由33公分縮小為31公分。
 另一位用肉毒瘦小腿案例。
   
- 
                        
                        
                        手術方式:神經切斷術、腓腸肌全切除及肌肉部份切除。作者認為最理想的瘦小腿手術為肌肉部位切除術。首先介紹神經切斷手術。神經切斷手術(切神經) 
 
  
 
 神經切斷手術的原理很簡單,將掌管腓腸肌的神經切斷之後,肌肉就沒有辨法收縮,肌肉就會萎縮掉。
 手術方式是在膝蓋後方做一個小傷口,找到神經後加以截斷掉。可能同時切斷掌管內側或外側腓腸肌或是比目魚肌的神經以使腓腸肌或比目魚肌萎縮。
 這手術的優點是手術簡單,如果切的神經少,病人術後就可以下床,術後恢復快。但如果切的神經多(內腓,外腓及比目魚肌的神經)那就須要一段時間恢復步行功能。
 這手術的優點是手術較簡單,手術快,恢復也較快。缺點是:術後的結果沒辨法掌握,肌肉可能會長回來。
 因為掌管腓腸肌神經的位置、數目等因素每個人之間會存在某些變異,譬如只是例行性的剪斷一條控制內側腓腸肌的神經,其他控制內側腓腸肌的神經如果沒有剪斷掉時肌肉萎縮的程度就會不如預期。
 臨床上我們會遇到某些切神經後的病人,長期追踨發現墊腳尖時內側腓腸肌會鼓一塊出來,如下圖例。
 
  
 
 上圖病例在實施內側腓腸肌的神經切斷術,在三個月後墊腳尖時內側腓腸肌不像術前那麼鼓,右圖是做完切神經後四年照片,內腓肌肉變得比術前更肥大。
 
  
 
 上圖例一年前在他院實施神經切斷手術,術後內側腓腸肌有萎縮,但四年後(左圖)內腓(箭頭處)鼓出來。
 
  
 
 上圖例在九年前在他院實施切神經手術,從照片可以看出兩腿有明顯差異,左小腿箭頭有明顯凹顯。
 
  
 
 上圖例於三年前在他院接受內側腓腸肌切斷手術,小腿圍有變小,內側腓腸肌也萎縮下來,但因為外側腓腸肌及比目魚肌有代償性肥大的關係,外形上小腿的後外方(外側腓腸肌的位置)及小腿外側(比目魚肌的位置)有往外鼓的現象。
 
 底下用一個簡圖說明切神經對小腿外形的影響。
 
  
 
 上圖顯示做切神經時肌肉的萎縮在術後比較難預期。
 
  
 
 上圖顯示如果做內腓的神經切斷會造成外腓及比目魚肌的代償肥大,小腿的斷面會看到小腿的後外方及外側會往外鼓。切神經的另一個可能併發症是手術時也一倂切除了比目魚肌的神經。 
 下圖例四年前在他院做了小腿切神經手術。術後造成右腿外側的凹陷(下左圖箭頭處),左腿的小腿肌肉沒有萎縮現象。
 小腿的外形有些奇怪而且不對稱。會造成凹陷的原因是右腿在切除外腓神經(第二圖標示L處)時,因某些人的神經差異,比目魚肌神經(圖標示S處)與外腓神經在同一枝分枝上,如果切在紅色位置的話,會同時切斷比目魚肌神經。
 她在本院實施小腿肌肉部份切除手術。將兩腿突出來的部位下方的肌肉部份切除掉,得到如右圖的結果。小腿漂亮對稱多了。
 
  
 
 下案例在他院實施切神經瘦小腿手術,右腿沒什麼變小,但卻造成左小腿內上方及外上方明顯凹陷(下左圖)。因凹陷十份嚴重,我們採用植入矽膠的方式來改善內凹陷,用自體脂肪來改善左外凹陷,下右圖是術後照。
  
- 
                        
                        
                        腓腸肌全切除 是不是將腓腸肌整個拿掉就可以得到最小的小腿圍呢?直覺上是對的,但我們一直強調, 
 小腿的外形比小腿圍更重要
 小腿圍變小了,但小腿失去了它的自然的外形的話,病人也是不敢露小腿的。
 一位有蘿蔔腿的女性與有美腿的女性的差別並不是有美腿者的小腿沒有腓腸肌,而是有美腿者的腓腸肌比較小塊,所以要將蘿蔔腿變美腿是不須要拿掉整塊腓腸肌,只須要將它變薄即可。
 小腿的外形是由大大小小的肌肉組成的,你可以想像少了一二塊肌肉的小腿外形嗎?
 
   
 
  
 
 左側小姐的小腿圍是38公分,使用超音波測量的內腓厚度是2公分。右側小姐的小腿圍是標準的32公分,內腓的厚度是1.6公分。如果想將左側小腿變為像右側小腿的話,須要將內腓全部拿掉嗎?
 
 腓腸肌全切除怎麼做?下左圖是腓腸肌全切除的示意圖,手術時會將腓腸肌的下半部份切除,保留上半部,保留上半部的目的是減少手術後膝蓋下方的凹陷,下右圖是二年前在他院實施腓腸肌全切除的案例,可以看出小腿形狀有一些奇怪,膝蓋下方的凹陷相當明顯。
 
  
 下一案例在他院實施腓腸肌切除手術,造成小腿嚴重凹陷(下左圖),經本院自體脂肪移植後,小腿外形得到改善(下右圖)。
  
- 
                        
                        
                        肌肉部份切除( 肌肉雕塑手術) 就如先前提到的,將蘿蔔腿變美腿只須將肌肉變薄即可。所謂的肌肉(含內腓、外腓及比目魚肌)部份切除手術就是指手術時只拿掉部份肌肉,將肌肉變薄以改善了小腿的曲線,而且只影響部份小腿的肌肉功能。 
 每個人的小腿外形不同,有些人外腓比內腓大,有些人只希望改善內腓的突點。在肌肉雕塑手術時會依每個人的須求做不同的設計,這三塊肌肉可以做不同程度的切除,是有選擇性的,這是肌肉雕塑手術與切神經,腓腸肌全切除(後二者是喪失全部肌肉功能,沒有選擇性)最大的不同。它是一種雕塑,手術時就像是做藝術品的雕塑一樣,用我們設計的器械,慢慢地切除掉部份小腿肌肉,直到小腿的曲線漂亮為止。
 
  
 
 上圖顯示,如果同時做內腓、外腓及比目的肌肉雕塑(肌肉部份切除)的話會得到較細、美觀的小腿。
 
  部份切除的肌肉是否已喪失功能? 我們就下病例加以解釋。病例術前的小腿圍是33公分,拿掉部份內腓、外腓及比目魚肌後二個半月,小腿圍縮減為29.5公分。 術前的內腓厚度是19 mm(超音波左圖,白色箭頭內為內腓)。術後二個半月的內腓厚度是11 mm(超音波中圖)。肌肉在超音波下可以看到紋理,當肌肉在收縮時肌肉紋理的角度會變大。病人在術後腳板平放時內腓肌肉紋理是12度(超音波對中圖,黃色間的角度),術後墊腳尖時變為20度(超音波右圖),可見術後的肌肉是有功能的。但如果肌肉部份切除的量較多的話,肌肉功能也可能會受影響。 
 
  
 
  
 
 上圖顯示做小腿內腓外腓及比目魚肌三塊肌肉雕塑手術前後的比較圖。
 
 小腿的整體雕塑病人除了在意因內腓肥大造成小腿內側突出外,外腓會影響小腿外後側曲線,比目魚肌會影響小腿外側曲線。我們一樣可以拿掉部份的外側腓腸肌及比目魚肌以改善小腿後方及外側的曲線。 
 如果病人合併有小腿皮下脂肪太厚的問題的話,可以同時做抽脂。如果病人也有大腿脂肪過厚的問題,也可以同時做大腿抽脂,達到一次雕塑下半身的目的。
 
 腓腸肌雕塑的手術過程
 
 手術一般是採半身麻醉。傷口做在膝蓋後方,約4-5公分。使用鍾醫師研發的器械將部份內腓、外腓打薄及將位於小腿外側突出的比目魚肌拿掉,當達到理想腿形時手術就完成。手術時間約要四至五小時。為了減少血腫(血液積在皮膚下面)的發生,我們會放引流管,術後約二,三天即可拔除。
 為了減少水腫,病人術後必須穿彈性襪六個月。術後病人多少有些疼痛,有些病人描述術後有點像長途跋涉後小腿酸酸的感覺。病人術後前一至二週走路會較慢,慢慢就會恢復正常。東方人四肢的疤痕須要一段時間才會淡掉。可能有的併發症 鍾醫師自1997年就開始進行這項手術,可能發生的併發症有: - 腳板外側皮膚感覺的暫時麻痺:有一條很長的感覺神經(腓腸神經),它位於外腓肌的外表及內腓及外腓間,從膝蓋部位一路走到腳板外側,負責腳板外側皮膚感覺,在手術時只要踫到它就會有感覺的暫時麻痺現象,目前手術全程在內視鏡導引下進行,可減少神經受傷。
- 可能因肌肉拿得不均勻,造成表面些許的不規則,目前使用內視鏡手術可以清楚肌肉表面,均勻打薄肌肉。
- 每個人的兩腿大小本來就會有些差異,術後也可能會有些不明顯差異。
- 病人會擔心術後會不會影響走路,目前未發生術後沒辨法走路的病例。
- 相對於切神經或肌肉全切除手術,部份切除術後比較沒有代償性肥大的問題,但如果病人在術後仍經常從事小腿的運動的話,比目魚肌多多少少會代償以致於影響腿形。
- 某些人會有術後積血或積水現象,發現時就要用空針將它抽出並用彈帶加壓就可以治療。
 
 下左圖示為手術時使用內視鏡的情形。
 
  
- 
                        
                        
                        長期追踨
 
 做完肌肉部份切除手術長期追踨後肌肉會長回來或是會造成小腿行走影響嗎?
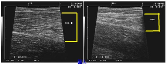
 其他蘿蔔腿的報導追踨時間常常是幾個月而已,我們會長期追踨我們的案例,以下是做完肌肉雕塑手術術前(左)與術後二年九個月(右)的內腓超音波圖。術前是2.2cm,術後是1cm,即使是男性病人,肌肉並沒有長回來或手術造成小腿功能影響。
 
   
- 
                        
                        
                        談RF 
 市面上有一種RF燒灼器,可以在小傷口下將燒灼棒伸入肌肉,燒灼肌肉,讓肌肉壞死,爾後壞死部位形成疤痕,肌肉就會變小,如下左示意圖。
 在觀念上使用RF瘦小腿與我們肌肉雕塑手術相同,但因為RF是盲目的,燒灼位置與能量的控制是一大挑戰,有可能會燒到腓腸神經,造成腳板麻痺。或是如下右圖在他院因局部過度燒約造成內腓凹陷(箭頭處)。
 
  
 
  
 
 2013在Aesthetic Plastic Surgery 期刊中發表12位因做RF瘦小腿造成馬蹄形足,也就是如下圖左腳跟無法著地的問題。並發現RF在平均1.5年後對小腿肌肉的影響仍未停止。看似比起手術簡單的瘦小腿方法(RF)並不單純。
 
  
- 
                        
                        
                        術前準備 - 請準備一雙寬鞋的高跟鞋(約二吋高),及寬鬆長褲。準備一至二天的住院。
 術後注意事項 - 術後前五天,建議多臥床休息。五天之後就可以慢慢下床步行。下床走路時穿著高跟鞋(寬的鞋跟會比較穩),小腿比較不會痛。慢慢恢復後,腳板放平不會不舒服時,就可以不穿高跟鞋了。
- 彈性襪可以減少小腿水腫,建議彈性襪穿6個月。穿彈性襪步行之後,有時彈性襪布料會有擠在一起的情形,會形成壓力點,造成疼痛時,宜理理彈性襪讓它施力平均。。
- 術後約二至三週起依醫師指示做腳踝復健。
- 如果傷口還沒有癒合,宜塗抹優碘藥水,貼上OK繃。傷口癒合之後可以盥洗,疤痕貼美容膠。
- 依預約時間回診接受檢查。
 - 彈性襪的保養:
 (1)用中性、無磷之肥皂溫水浸泡。(切勿用洗衣機、刷子、漂白水、烘乾機)。
 (2)用清水浸泡彈性襪,切勿用力扭乾。(彈性襪為不吸水材質)。
 (3)可先利用大浴巾將水分吸乾,再用衣架自然晾乾
 
- 
                        
                        
                        以下是鍾醫師受訪文章 
 1)蘿蔔腿該怎麼辦?儷人整形外科診所鍾立人醫師:重點在於腓腸肌處理
 https://lrclinic.pixnet.net/blog/post/47797879-%e8%98%bf%e8%94%94%e8%85%bf%e8%a9%b2%e6%80%8e%e9%ba%bc%e8%be%a6%3f%e5%84%b7%e4%ba%ba%e6%95%b4%e5%bd%a2%e5%a4%96%e7%a7%91%e8%a8%ba%e6%89%80%e9%8d%be%e7%ab%8b%e4%ba%ba%e9%86%ab2)瘦小腿做醫美會不會容易復發? 專業醫師:有無切除小腿肌肉是成功關鍵!
 https://lrclinic.pixnet.net/blog/post/38684299-%e7%98%a6%e5%b0%8f%e8%85%bf%e5%81%9a%e9%86%ab%e7%be%8e%e6%9c%83%e4%b8%8d%e6%9c%83%e5%ae%b9%e6%98%93%e5%be%a9%e7%99%bc%3f-%e5%b0%88%e6%a5%ad%e9%86%ab%e5%b8%ab%3a%e6%9c%89%e7%84%a13)想揮別結實蘿蔔腿嗎?儷人整形外科診所鍾立人醫師談如何選擇瘦小腿醫美療程
 https://lrclinic.pixnet.net/blog/post/26033696-%e6%83%b3%e6%8f%ae%e5%88%a5%e7%b5%90%e5%af%a6%e8%98%bf%e8%94%94%e8%85%bf%e5%97%8e%3f%e5%84%b7%e4%ba%ba%e6%95%b4%e5%bd%a2%e5%a4%96%e7%a7%91%e8%a8%ba%e6%89%80%e9%8d%be%e7%ab%8b4)粗壯小腿肌怎麼瘦?儷人整形診所鍾立人醫師談腓腸肌手術塑造勻稱小腿
 https://lrclinic.pixnet.net/blog/post/27803480-%e7%b2%97%e5%a3%af%e5%b0%8f%e8%85%bf%e8%82%8c%e6%80%8e%e9%ba%bc%e7%98%a6%3f%e5%84%b7%e4%ba%ba%e6%95%b4%e5%bd%a2%e8%a8%ba%e6%89%80%e9%8d%be%e7%ab%8b%e4%ba%ba%e9%86%ab%e5%b8%ab5)瘦小腿腓腸肌手術雕塑完美腿型 向粗壯的蘿蔔腿說掰掰!
 https://lrclinic.pixnet.net/blog/post/27803532-%e7%98%a6%e5%b0%8f%e8%85%bf%e8%85%93%e8%85%b8%e8%82%8c%e6%89%8b%e8%a1%93%e9%9b%95%e5%a1%91%e5%ae%8c%e7%be%8e%e8%85%bf%e5%9e%8b-%e5%90%91%e7%b2%97%e5%a3%af%e7%9a%84%e8%98%bf6)粗壯蘿蔔腿掰掰!專業醫師談腓腸肌部分切除手術讓你擁有漂亮小腿
 https://lrclinic.pixnet.net/blog/post/95622079 7)儷人整形外科診所鍾立人醫師談隆小腿及小腿重修手術https://lrclinic.pixnet.net/blog/post/656752338)瘦小腿不是女性專利!專業醫師分享男性腓腸肌部份切除瘦小腿手術:客製化雕塑小腿線條https://lrclinic.pixnet.net/blog/post/1882948219)瘦小腿手術也能客製化?專業醫師解析腓腸肌手術關鍵:依肌肉結構量身設計https://lrclinic.pixnet.net/blog/post/18677504510)RF電波瘦小腿可告別惱人蘿蔔腿? 專業醫師深談RF電波瘦小腿https://lrclinic.pixnet.net/blog/post/17083237911)鍾立人醫師談切除腓腸肌瘦小腿手術的發展史及腓腸肌部分切除手術優勢https://lrclinic.pixnet.net/blog/post/15393473512)專業醫師談瘦小腿手術之後遺症https://lrclinic.pixnet.net/blog/post/105406696
- 
                        
                        
                        Q : 如果去診所諮詢診斷會用儀器檢查嗎?若要做雕塑手術,內、外腓腸肌、比目魚肌目前各有多少公克,手術將會拿掉多少公克嗎?可否預測出可以改善到多少腿圍又不會造成行動不方便呢?
 A : 我們會用超音波測量妳術前的肌肉厚度,至於會拿多少的肌肉是在手術的時候判斷的,當手術後得到理想的腿形時就不再拿肌肉了。會依妳肌肉肥大的程度預測可能的術後小腿圍。
 
 Q : 手術後的疤痕是永久性的嗎?需拆線嗎?手術完多久傷口會癒合?多久可碰水?多久可以看到效果?
 彈性襪可以穿只有小腿到腳踝的不到腳掌的嗎?若有積血情形的話回診處理時間為多久?
 可當天來回嗎?手術後多久可正常起立蹲下?
 A : 疤痕位於膝蓋後方,癒合好之後看不太出來。術後一週傷口要拆線,拆線後就可以踫水。效果快的話一至二週就可以看出來。
 因為彈性襪要有一定的壓力,如果腳板沒有包到的話腳板會腫起來。如果有積血的話,用針筒抽出即可,時間很快。
 起立蹲下的動作一般二週後就可以做得到。
 
 Q : 想請問小腿雕塑後若對腿型不滿意的話,容許再做二次雕塑嗎?
 還有為何高跟鞋建議在術後初期穿!而不建議恢復後穿?請問對小腿肌群有什麼樣的影響?
 A : 手術初期如果病人穿平底鞋的話會拉扯到手術肌肉,病人會不舒服,肌肉慢慢恢復後就可以穿平底鞋了。
 至於長期穿高跟鞋對蘿蔔腿有什麼影響,查過去的醫學文獻結論並不一致,這裏頭有牽涉到很多變數,但鑑於有些病人長期穿高跟鞋後造成小腿肌肉有一些胖回來,所以建議病人恢復後少穿高跟鞋。某些病人希望腿更瘦時可以考慮做第二次雕塑。
 
 Q : 可以將內側腓腸肌完全切除再雕塑其他的肌肉嗎?還是都只能雕塑而已呢?
 A : 肌肉部份切除的精神是
 1)美觀上較好看,如果肌肉整個拿掉,外形上可能會有凹陷。
 2) 合乎生理,肌肉的功能仍存在,不會有其他肌肉代償性增厚的問題。所以我們可以雕塑內側腓腸肌,外側腓腸肌及比目魚肌。
 
 Q :有醫生說切除部份肌肉的手術是想要減少全部移除肌肉的超長恢復期,過高的併發症機率,傷口過大,退而求其次的手術,難道是真的嗎?
 A : 很多醫師對腓腸肌雕塑有很多懷疑是很正常的,因為他們沒有做過這種手術,目前他們可以看到的研究資料有限。其他瘦小腿的手術如切神經手術、全切除手術我們都做過,目前我還是認為肌肉部份切除手術是比較好的選擇。
 
 Q : 請問在腓腸肌部份切除手術中,切除的是內側腓腸肌、外側腓腸肌、比目魚肌三塊肌肉哪一組肌肉?
 A : 內側腓腸肌影響的是小腿內側的曲線,比目魚肌影響的是外側曲線,外側腓腸肌與小腿外後方的鼓起有關。病人幾乎都會做內側腓腸肌。要不要做其他兩塊肌肉要看病人的腿形。
 
 Q : 有個醫生說外側的肌肉可用神經阻斷一部份,所以不會影響走路的功能,到底是怎麼樣啊?
 A : 外側腓腸肌的神經切斷不是不能做,但是要非常小心神經變異問題。我們做的腓腸肌雕塑在根本想法上與神經切斷不同;腓腸肌雕塑只是拿掉部份肌肉,而神經切斷是想讓整個肌肉失去功能,所以當然是前者手術後走路功能的影響最小也不會有其他肌肉代償性肥大的問題。腓腸肌雕塑的結果可以預期,而神經切斷的術後結果卻無法預期。
 
 Q : 如果做了蘿蔔腿手術後,之後如果再運動或久站的話肌肉會不會在漸漸茁壯呢?
 A : 肌肉是可以訓練變大的,但應該不會有手術後的病人會去訓練腓腸肌。站立不會讓腓腸肌變大。
 
 如果妳住在外地,不方便來看診,妳可以將妳的小腿照片如下面的方式照下來(小腿的後照及墊腳尖時的照片),並將妳的小腿圍(在最粗處測量)資料及妳的問題傳到e-mail: mail@LRclinic.com.tw,我們會儘快回覆妳。
 
   
如果你有其他問題,可以寄到 service@LRclinic.com.tw 我們會儘快答覆你。有關手術費用的問題,因為採取的手術方式得看過診後才可以得知,請不要透過網路詢價。










